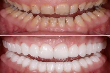
Full Mouth Rehabilitation

Full Mouth Rehabilitation (FMR)—also known as full mouth reconstruction or full mouth restoration—is a comprehensive dental treatment plan that involves rebuilding or restoring all of the teeth in both the upper and lower jaws. It’s typically used for patients with extensive dental issues affecting function, health, and aesthetics.

What Is Full Mouth Rehabilitation?

It’s a multi-disciplinary approach that may combine:

  • Restorative dentistry (fillings, crowns, bridges)

  • Prosthodontics (dentures, implants)

  • Periodontics (gum treatment)

  • Orthodontics (braces, aligners)

  • Endodontics (root canals)

  • Oral surgery

Who Needs It?

FMR is typically recommended for patients who have:

  • Severe tooth wear (due to grinding, acid erosion, etc.)

  • Multiple missing teeth

  • Extensive dental decay or broken teeth

  • Chronic jaw, muscle, or headache pain (TMJ disorders)

  • Congenital disorders (e.g., amelogenesis imperfecta, ectodermal dysplasia)

  • Failed previous dental work

  • Trauma to the face/jaws

What Procedures Are Involved?

Each case is personalized, but common procedures include:

CategoryPossible Treatments
RestorativeFillings, inlays, onlays, crowns, bridges
ProstheticDentures (partial/full), implants
OrthodonticBraces, clear aligners
EndodonticRoot canal treatments
PeriodontalDeep cleaning (SRP), gum surgery
SurgicalTooth extraction, bone grafting, sinus lift

Steps in Full Mouth Rehabilitation

  1. Comprehensive Examination

    • X-rays, 3D scans (CBCT), photos, dental impressions

    • Occlusal analysis (bite and jaw function)

  2. Diagnosis and Planning

    • Create a customized treatment plan

    • May involve digital smile design (DSD)

  3. Phase-wise Treatment

    • Treat infection, stabilize oral health first

    • Restore function and aesthetics next

  4. Final Rehabilitation

    • Placement of crowns, bridges, or prosthetics

    • Occlusal adjustments

  5. Follow-up & Maintenance

    • Regular dental visits and hygiene protocols

Benefits

  • Restored oral function (chewing, speaking)

  • Improved facial aesthetics and smile

  • Relief from pain or discomfort (TMJ, headaches)

  • Boost in confidence and quality of life

Risks & Considerations

  • Long treatment time (months to over a year)

  • Financial cost

  • Requires strict oral hygiene and follow-up

  • Complex coordination between dental specialists

Best dental implant services in Mahalunge